Программа для планирования ортогнатического лечения
Модуль Planmeca Romexis® CMF Surgery — это передовое программное обеспечение для подготовки виртуальных планов ортогнатического хирургического лечения. Он предоставляет хирургам средства для оценки случаев и создания промежуточных и окончательных шин на базе целевой окклюзии и положения челюсти.Шаблоны разрезов для наиболее распространенных типов остеотомии
Romexis CMF Surgery объединяет все инструменты, необходимые для планирования ортогнатического лечения. Программа автоматически создает шаблоны разрезов для наиболее распространенных типов остеотомии, таких как LeFort 1, BSSO и Genioplasty.
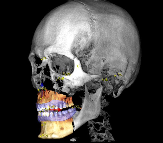
Динамические измерения
Программный модуль Romexis CMF Surgery имеет таблицу измерений, которая упрощает отслеживание анатомических ориентиров и размеров между ними во время имитирования ортогнатического лечения.
Создание промежуточных и окончательных шин
После того как план хирургического лечения готов, программа позволяет легко моделировать промежуточные и окончательные шины, которые затем просто экспортируются в файл формата STL для 3D-печати.
Заказ индивидуальных имплантатов
Вы можете заказать шины, хирургические шаблоны и и индивидуальные имплантаты для пациентов через сервис Planmeca ProModel™ напрямую из программы Romexis CMF Surgery. Сотрудники сервиса также помогают хирургам при планировании ортогнатического лечения в ходе виртуальных консультаций.
